Just under a month ago, I underwent hip replacement surgery. However much I tried to find out about the actual surgery and the “getting fit again” process beforehand, the reality was somehow not quite what I had expected, and so I just thought I would note some reflections here for anyone else considering, or undergoing, this amazing operation! The two most important things to say are that:
- It is an amazing operation; and
- It’s really important to remain positive throughout the whole recuperation process, which is why I am calling it “getting fit again”.
So, in the first place, why should one consider having a hip replacement? Quite simply, in my case, the increasing pain from osteoarthritis was making life ever more painful and difficult, waking me up at night and really making it unpleasant to go for long walks, let alone runs or skiing! Everyone said that the operation would transform my life, and the brilliant consultant with whom I spoke reassured me that this would indeed be the case. However, here was my first challenge: at only 60 I felt really quite upset that my body was beginning to need such interventions. I still felt young, and it was really difficult to come to terms with the implications of aging. So, this was where it mattered to be positive, and to look forward to seeing all the things that a new hip would enable.
As the time drew closer to the operation, I also remember feeling very ‘strange’ about the idea of part of my body being taken away and replaced by a metal and ceramic “new hip”! I hadn’t expected to feel quite like this, but the loss of “integrity” was something I had to come to terms with.
I’m sure that many things helped me address my concerns in the run-up to the operation: the assurance and matter-of-factness of the surgeon, the care taken by the nurse to reassure me during the pre-operation discussions, and the advice given in advance as
to the exercises I would need to do. One key message for the “getting fit again process” was that the angle between my back and my thigh should never be less than 90 degrees for the month after the operation. This necessitated getting various bits of equipment, not least a raised toilet seat, a long shoe horn, a grabber to pick things up with, and a sponge on a long arm for the shower (all shown on the adjacent image)! Several people advised that I should get other equipment, but these four items were really all that was needed. The final preparation was to make sure that I had a seat with arms that was high enough to ensure that my knee was lower than my hips when I sat down- again the 90 degree rule! This actually proved to be quite a challenge, because we did not have seats with arms, and all were too low. The solution was to get an old office chair that could be raised to the right height, and move it around the house. Hard cushions for raising the level of seats outdoors were also essential! I have to confess that I hadn’t realised the importance of chair arms, but normally when one gets up from a seat one leans forward, and that would mean the angle between back and thigh going well below 90 degrees! So, I had to learn how to get up from sitting by pushing on the chair arms! Incidentally, another rule was never to cross my legs for five weeks after the operation – again, not easy to obey, especially towards the end of the time once the pain was less.
So, with all the preparations complete, but still with much trepidation, the day of the operation came. As ever when one goes into hospital, lots of tests needed to be done, and so there was much waiting around. I just wanted to get it over and done with – but watching a test match on TV helped to pass the time away. I wasn’t quite ready, though, when the anaesthetist asked me what kind of anaesthetic I wanted: a spinal block, or a general anaesthetic. My immediate reaction was that I quite fancied the spinal injection since I could watch what was going on, and it served to reduce the pain in the immediate hours after the operation! However, he made two observations that changed my mind: the first was that I really should not try to interfere in the operation, and I just thought that I could get so interested that I would be asking questions as to what was going on; and the second was that I would need a catheter, something I really did not want, but more about that later! So, I opted for the general anaesthetic, and woke up a couple of hours later!
It is not easy to recall exactly what I felt like when I woke up, because of the drugs I was on to reduce the pain, but the after-effects of the anaesthetic gave me a rather blurred sense of reality! I’ve not often had general anaesthetics before, but as on previous occasions they left me feeling rather “low”, and this time was no exception. I was also plugged in to a drip, a drain, and something to help my breathing! However, already as soon as I woke up I felt a different sensation in the hip. The horrible aching pain deep inside was replaced by a much sharper pain on the outer part of the hip, and around the incision that had enabled the surgeon to do the operation.
However, there was no time to rest. As soon as I was awake enough my new exercise regime kicked in! My first night, I stood up only five hours after the operation; the next day I was walking on crutches; and the next day I could take a couple of paces without crutches. After only four nights in hospital I was released. All of the hospital staff were amazingly supportive, and the physiotherapists made sure that I went for short walks every day as well as doing my exercise regime three times a day! Again, this was where being positive made such a difference. I was indeed determined to get fit again. It was, though, very strange, because this involved having to think consciously about how to walk again. The operated leg didn’t seem to want to do what I had previously taken for granted, and I really had to think about how to walk! This involved (I think) kicking the leg forward consciously onto the heel and then rolling onto the toes. Another tricky and indeed quite painful thing was learning how to get into and out of bed! This involved standing by the bed, pushing the operated leg slightly forward and then sitting down, before swiveling round towards the un-operated leg side, lifting that leg first, and then trying to get the other leg into bed!
The pain of the operation, though, was nothing compared with the difficulty and pain I had in peeing! The anaesthetic had made it difficult for me to go to the loo, and my bladder filled up to such an extent that they were concerned that this could affect the hip. So, I had to have a catheter drain put in the second night just to release all of the urine! Unfortunately, it did not prove easy to put this in (several attempts were necessary), and so once it was removed I was in considerable pain. Of course, this caused very much greater pain when I tried to pee again!!!! For anyone who has not experienced this, it is difficult to describe, but the nearest description is something like razor blades cutting me inside when I tried to pee. Of course this in turn meant that I had an uncontrollable reaction that made me stop peeing, and so my bladder filled up again, meaning that they had to insert another catheter. All I can say is that the pain of trying to pee was very, very much worse than the pain resulting from the operation, and if I hadn’t had the catheter problems I would honestly be saying that the pain of the actual hip replacement was really relatively minor, and very much less than I had expected! It took a good fortnight before I could go to the loo again without pain.
Once home, the exercise regime started in full force, and it is here that my determination to do all of the exercises and focus on “getting fit again” came into force. I felt exhausted and totally disinterested in doing anything for the first few days, but having to do the exercises three times a day gave me some focus. Learning to walk properly, first with two crutches and then with one took some time. I was doing two 10-minute walks a day by the second half of the first week, rising to two 15-minute walks or one 30-minute walk by the start of the second week, and then regularly doing at least 30 minutes a day by the beginning of the third week. I had been determined only to use one crutch by the second week, but found that I walked with less of a limp if I used two crutches for balance. Still, it really is not easy to walk properly again even now, 26 days after the operation, both because of the lingering aching pain, but also just because the leg will still not do quite everything it is told to!
Another positive thing has been the opportunity to go “swimming” especially on hot days. I must confess to being someone who prefers baths to showers, and not being able to have a bath for five weeks has therefore made me long for a nice hot luxuriating bath when I am again allowed to. However, being able to do my exercises in a swimming pool adds a different experience to the “getting fit again” routine, especially since the water takes the weight of the body and actually enables me to do much more. If I am very careful in how I use my new hip, I can also swim gently, which is very liberating!
For anyone concerned about the size of a hip replacement wound, and how quickly it heals, I have
been amazed at the pace of the healing process, shown in the adjacent pictures, with the left one being the bruising after 8 days, and the right one showing the wound (much closer with most of the bruising having gone) after 16 days. The wound itself is only about four inches long!
The biggest challenges have been sleeping, dealing with the ever slowing pace of recovery, and having to wear compression stockings. One thing about hip replacements is that you have to sleep on your back for about five weeks after the operation (the same rule as not crossing your legs!). For those of us, like me, who are used to sleeping in other positions this can be a real challenge – especially since I am not a good sleeper at the best of times. I also found it difficult in the early stages to deal with the pain at night (despite pain killers and the occasional sleeping pill), and only now after three-and-a-half weeks am I beginning to get back into anything like a vaguely normal sleep pattern. Being so tired means that I don’t have the energy to do all the things I want to, and so there is a tendency to fall into a downward spiral.
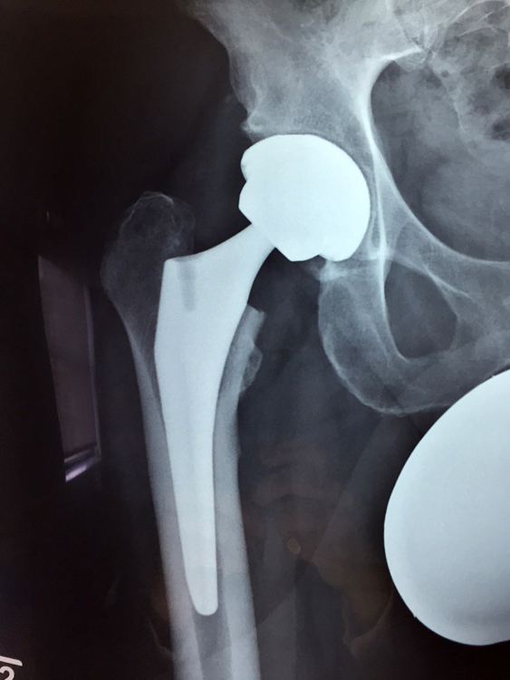
Then, the pace of recovery also slows down with each day (a kind of negative exponential curve), and I find this quite difficult to deal with. In the first few days, I felt I was making huge progress very swiftly, but by the end of the second week it became more difficult to see regular improvements. I know I am continuing to get better on a daily basis, and have now started walking completely without crutches all day, but the dull pain, and the inability still to do many things is incredibly frustrating. This is much more of a psychological thing than a physical one, but having been “out of action” and not able to drive or do much for myself is very wearing. I just want to be completely fit again so that I can be revitalised and use my new hip (shown adjacent!) to its full potential.
Having to wear compression stockings to prevent deep vein thrombosis (DVT) is also very wearing, and in hot weather it is incredibly uncomfortable – again especially at night. I had not previously realised quite how serious concerns over DVT were with hip replacements, and not being allowed to fly long-haul for three months afterwards has certainly caused some considerable problems with respect to my work commitments. However, on a more mundane level, wearing the stockings to help prevent DVT is very frustrating, and still requires assistance since I cannot bend down to put them on!
So, a real tip for anyone facing this operation, as indeed with many other operations, is that it’s very important to find especially nice things to do during the recovery period. I have found that having very special things to look forward to helps immensely (such as visiting Windsor last week), because it gives a sense of purpose and pleasure when the pain and tiredness have a tendency to become overwhelming.
Finally, I just want to pay tribute to the amazing surgeon, anaesthetist, nursing staff and physiotherapists who made my stay in hospital such a great experience, and to everyone who has helped care for me and keep me up-beat over the last three weeks. I am really looking forward to continued progress, and really being fit again!


thanks Tim, i’ve book-marked this for later. at some point i will be taking a more personal interest
Good luck when you take an interest!
I wish you very speedy recovery Prof. I pray you bounce back stronger than ever.
Thanks so much – as you can see, recovery is indeed progressing!
Tim, I wish you a quick full recovery! Looking forward to see you once again in one of those challenges walking with the bottles under you without touching the floor with your hands! that was quite a scene! 🙂 Big hug!
Thanks you so very much – am definitely up for the bottle trick again – just give me another week or so!
Wishing you a quick recovery….
You made me want not one, but two hip replacements.
And those photos. I especially loved the one with the… your… errr… the bodily fluids.
Get well soon 😉 😉 😉
Thanks so much – can’t wait to be fully fit again – back to crazy mad dancing again!
Ouch! wishing you well soon.
Hi was very interesting, after nearly a week I still have a dull ache, which I keep thinking there is something wrong, good to hear quite normal, after people telling me when I wake up there will be no pain at all is very misleading .
Good luck in the future.
Connie
Am now almost two months post-operation – and feeling so much better – but they say it is really only between 4 and six months that the dull ache disappears. You have had major surgery! The physio tells me that I am far too impatient!
All the best with the continued recovery Tim! And thanks so much for sharing your experience! Enlightening! Note to self – dont read about operations and all their ramifications whilst having lunch… 😉 All the best Fred
I’m going in next week. Thank-you for your words of inner strength. I hope I can be as positive as you are…regards….Simon
Hi Simon – really hope your operation goes well! A key thing I would now add is definitely to keep the exercises going, and ensure the follow up physio is supportive! Go well! Tim
I’ve been searching the Internet for some descriptions of the recovery after a THR, and this is marvelously descriptive. Your experience helps me see my experience as normal. There is surprisingly little detailed information available on what to expect in terms of daily fatigue, and returning to fitness. Thank you.
Thanks so much. Mind you, I have found the need for continuing physiotherapy and a fitness regime quite demanding – it is a real question of getting the balance right. I guess I want to do too much, and still tend to overdo it sometimes! They say, though, that it is only really after 18 months that most people are as good as they will be – so I am only about half way there now!!! Very much hope that your own recovery goes well.
This blog was a great read. I’m having a hip replacement in 5 weeks. I liked the detailed info as people tend gloss over the immediate post op experience.
I feel more prepared for reading this. Thank you. By now you are probably completing marathons😉
Hi Bernadette – So glad you found this helpful. One additional tip would be that it is important to be diligent with post-operation physiotherapy. When I wrote the blog, I was very much in the immediate post-operation phase, and made great progress swiftly. However, a year later I am conscious that it has been very important to continue with physio and with the right exercises to get properly fit again. Talking with several people, it is clear that most of them stop the recovery when they are perhaps 75-80% fit again – because they are in so much less pain than they were when they went into the operation! I hope you can persist, and get really fit again afterwards. Don’t worry about the operation – it really is a life-changer. Hoping everything goes well for you.
Hi. Hoping the blog still active ?
I had an uncemented THR 11 weeks ago.
My question to you would be regarding the leg movement post op i.e. awkward & not doing everything’s it’s told to do.
I can only explain that it feels as if my leg responds in a delayed fashion to the brains command walk & move forward. It’s almost a feeling of the leg being ever so slightly ‘disconnected’
Like you I did all exercises given 3 x daily, I swim, I have had one to one personal training since 7 weeks post Op at the gym. No pain at all ever since Op. just the obvious soreness of the wound for 2 weeks after.
Did you have this feeling ? If so, can you remember how long at lasted ?
Any experiences from readers please also post. Thanks. Paul.
Hi. Thanks for getting in touch. I’m sure that everyone responds a bit differently, but I would not be too concerned at this stage. From my experience, I found it very difficult to learn how to walk again. This might sound crazy, but I think we simply take walking for granted for most of our lives, but it is actually something we learned how to do as a child – I was amazed how weird I found it! Your description of the leg responding in a delayed fashion to the brain’s command is spot on! I tried to stop using a stick as support early on – but actually I then began to find that I did not “heal” as quickly – and sometimes my leg would collapse. So, I then started to use the stick as support again, and that helped speed up my recovery. One thing that I found helpful was actually consciously to “kick”forward my leg a little as I walked, and that helped me get used to walking “properly” again. I stress I am by no means a doctor, but I am just sharing what worked for me. Are you having physio? I also found that this helped, not least by the physiotherapist advising me of useful flexibility and strengthening exercises. really hope you continue to make good progress!
Thanks for the quick reply.
Sounds as if the leg description I mentioned is likely a normal part of the healing process as you seem to experience the same sensation.
I will try the “kick” forward and see how it feels.
No, I don’t have physio anymore, he felt the exercises he was giving me were being done regularly & properly by me at home. As I mentioned, at the same time as physio I also was having one to one personal training. And still am.
I think you are a couple of years on from your Op now going by posts on here. Do you feel completely recovered & (normal) now & how long before that actually felt that way for you ?
I am amazingly better than I was before the op – but not 100% perfect. Unfortunately, I had a small setback quite a year ago straining my thigh muscle while pushing my mother up a hill in a wheelchair – and I still get a bit of pain from that! So, I have learnt that it is necessary to take care of oneself a little more than perhaps I did before. Earlier this year, though, I completed the 19 kms Tongariro Crossing in New Zealand (http://www.tongarirocrossing.org.nz/) – that must be a test of how successful the operation was. Everyone said that after 18 months you are likely to be about as good as you will be, but I still feel that I am improving. It’s important to remain positive. Really hope you make progress. And let me know how the “kicking-walk” works!
Unfortunate for you to strain the thigh but it doesn’t sound as if it’s an internal hip issue hopefully. Currently I find walking up hills challenging so would think the angle of the hill coupled with additional weight of mother & chair was maybe a little to much.
I will crack on regardless but as only 55 will no doubt need a revision in 20 or so years ?
Can I point out a small error in your blog…..
You stated on a couple of occasions that the angle of the back to thigh should not be LESS than 90*….I understand it is no MORE than 90* for the first 5/6 weeks, ie: no more than a ‘right angle’
I will try the kick walk & keep you posted.
Thanks for your time.
Paul
Thanks Paul for noting that! My mother is still going strong with an early replacement that she had 30 years ago – so be optimistic that your hip will last longer than 20 years!!
By the way, I do think my wording is right. I was referring to the angle between the thigh and the back – it should always be more than 90 degrees in the early stages, i.e. one should not lean down towards the knee (which would make the angle less than 90 degrees).
Thanks for the encouragement Tim.
All the best.
Pingback: How did I get here? – Carl's Hip Replacement
Good luck with the operation. Yes, much back pain is caused by problems with the hip – and I really hope you will find yourself rejuvenated! But the rehab needs taking very seriously, and I’ve found that one still needs to take a bit of care of the hip afterwards! Think of the great walks you will do again. I completed the Tongariro Crossing in New Zealand last year, and it is great to be able to ski again! Really hope it goes well.
Great to read your words, many thanks. I’m due in hospital in a few weeks for my right hip replacement, I’m 48. Reading your blog has given me great insight and inspiration!!
Thanks so much. I really hope the operation goes well. Be positive, treat the recuperation and physio as a positive challenge, and you will soon be up and about – and the days of pain you have suffered from before the operation will soon be a thing of the past!
Hello David.
Yes, I agree, Tim pretty much nailed it with his experiences, tips and insight.
Probably the most in depth I came across whilst recuperating.
I’m 56 now & had THR to left hip end of July 2017. I have a manual job and returned to it after 10 weeks.
My twopennyworth of hints & obs…….
* Do the given exercises fastidiously 3/4 times daily (esp:the tension bands).
* Use a pool after the staples have been removed to walk, this will give you the feeling of the motion of walking properly again for the first time in a while with the buoyancy aid of water.
* To get the ‘glute’ ( in your case the right one) back to strength, when advised by physio, do plenty of 90* squats, using body weight only. When feeling stronger incorporate leg lunges also. I hadn’t been able to perform a leg lunge to the bad hip for several years prior to surgery. 4/5 months on I was able to do 3 sets of 10.
* Listen to your body & don’t be tempted to over extend the hip for a good few months.
* Remember, it takes 12 months to fully heal !!
You will be hip pain free from the moment you wake up.
Good luck & keep us posted.
Paul
Great additional tips here – definitely agree with the “Listen to your body…” one. I was tempted to do too much too soon – definitely not a good thing!
Thanks for sharing your experiences.very interesting and inspirational article.
Glad that you found it helpful. Hope it resonates with your own experience as a surgeon
Thanks for sharing this precious information.
I really like your post.
Hello,
Thank you for sharing useful information. It is reallya great blog, Also you can know more about on Hip Replacement in thane
I have just had hip replacement number two, three weeks ago. It was far worse than the first! I barely sleep at all as I find it impossible to sleep on my back. The first two weeks I was immersed in a ‘fog’ of pain and (dare I say it) depression. I know this will not last as I have been through it all before, It is a very lonely time and I wish the best of luck to anyone undergoing this operation. It will be worth it in the end! Thank you for your blog – it was refreshing to find realistic information.
So sorry that you have had such pain and are feeling low. I have to admit to rather dreading another such operation if I need it. Please just let me encourage you to be positive and work at the physio – I really hope you can feel day-by-day progress. Go well.
I am so grateful for your prompt reply. I will take your advice and try to be more positive. I am just starting to feel there is light at the end of the tunnel. I actually went for a walk today without my crutches!
Brilliant Susan – there’s definitely progress for you!
Hi Tim, very interested reading all the comments,I’m awaiting my hip operation of course I’m apprehensive but the pain I have is awful, so I’m hoping that after this operation I can start to feel human once again, everyone that’s had this operation has said what a difference it’s made to their life.
I’m sure you will indeed feel better – but it does need wroking at! Almost four years after my operation, I am a completely different person – and it is wonderful to be able to go for long walks, and sleep painlessly at night! I hope that it goes really well for you! Best wishes
Hip replacement is adifficult process but the main part of hip replacement is recovery period after the hip replacement.thats the pit where you have to take precautions and rest to keep you up and healthy. better recovery means faster recovery the more you take care you yourself the fast u will retain your previous life.
Great information about hip replacement surgery Thanks for sharing information .. keep posting… we are at Medical Tourism in India with Healing Touristry. Click https://www.healingtouristry.com/
Nice blog. Thanks for your information.Knee replacement Surgeon In Mulund
Well written. Just had full hip replacement on the 27th Dec. 2021. I have had a big difference then you after I woke up from the anesthesia.
Any concerns with blood clots?? Did you have any bruising below the knee on the operation side of hip????
Thanks Jeremy – really hoping that your recovery proceeds swiftly. I didn’t have any bruising below my knew, but plenty around the hip! Blood clots are definitely a concern, and I was advised to wear preventative stockings whenever I flew in the following couple of years. Have to say that (knowing people who have sadly died from such clots, but nothing to do with hip replacements) increasingly I try to wear compression socks whenever I travel longhaul! Keep strong – there will be down patches on the road to recovery, but as I am sure you already know the operation can transform your life!
Thanks so much, I now know there’s light at the end of this tunnel. I’m 52, just 9 days post op and oh the frustration of not being able to bend! Your account rings very true with me, thanks for being so honest.
Hi Caroline – very much hope you keep making good improvements. With hindsight I tried to do too much too soon! Just find a good physio, and ensure you follow what they say! It’s a great operation and willultimately make a hjuge change to your life!
Your post so nice and very informative. Thanks for sharing this post.
Thank you so much for sharing the amazing information.
Having undergone hip replacement surgery recently, I’m thrilled to be on the road to recovery. The procedure has given me hope for a pain-free future and a return to activities I love. With each day of rehabilitation, I feel stronger and more confident. It’s a journey of perseverance and gratitude, supported by medical professionals and loved ones. I look forward to achieving new milestones and embracing a fit, active lifestyle once again!